外来を受診される方
入院・お見舞いの方
医療関係者の方
採用情報関係 
病院紹介
地域医療連携
がん診療連携拠点病院
診療科・部門案内
アクセス
お問い合わせ
日本語
English
簡体中文

1日ドックと脳ドックのご案内

はじめに

脳卒中は死亡率が高いだけでなく、片麻痺や高次機能障害などの後遺症が高率に残るのでその予防は重要です。
脳ドックは無症候の人を対象にMRI(磁気共鳴による断層撮影)、MRA(磁気共鳴による血管撮影)による画像診断を中心として無症候・未発症の脳および脳血管疾患、さらには危険因子を発見しそれらの発症・進行を防止することを目的とします。脳卒中を確実に予防できるわけではありませんが現状の自分の状態を知り、今後の自己管理のお役にたてれば幸いです。
中・高齢者(50-75才)の方や脳卒中の家族歴 (特にくも膜下出血)、高血圧症、肥満、喫煙などの危険因子を有する方にお勧めします。

検査内容

1日ドックの内容、頭部MRI、頭蓋内・頸部MRA

※ご注意
脳ドックのMRI・MRA検査では強い磁力が働くため、心臓にペースメーカーが入っている方は受けられません。また、手術などで身体内に金属が入っている方も危険なことがありますので、あらかじめお知らせください。

脳ドック日程表

脳ドック日程表20240423

*検査の順序は状況により変更することがありますのでご了承ください。
*脳ドックの検査は 15:00からとなっております。ご了承ください。
*日程表中の数字は受付窓口番号です。

脳ドック

頭部MRI

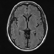
  • 頭部MRI正常
    正常
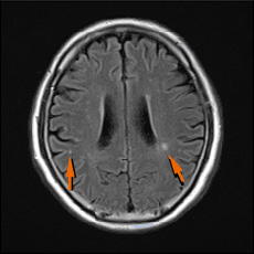
  • 頭部MRI無症候性脳梗塞
    無症候性脳梗塞
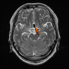
  • 頭部MRI脳動脈瘤
    脳動脈瘤

頚部MRA

  • 頸部MRA正常
    正常(狭窄を認めず)
  • 頸部MRA右内頸動脈50%狭窄
    右内頸動脈50%狭窄
  • 頸部MRA2mm大の脳動脈瘤
    2mm大の脳動脈瘤
  • 頸部MRA20mm大の巨大脳動脈瘤
    20mm大の巨大脳動脈瘤

ドックの予約

  1. 当院の人間ドックは予約制となっておりますので、診察券をお持ちの方は診察券番号でご予約ください。
    お電話での予約も受付けております。
    予約専用フリーダイヤル 0120-145-800
    平日午後2時から午後4時30分まで
  2. 予約日が決定しますと20日前くらいに「人間ドック質問表」などの案内書類をお送りいたします。都合により予約の変更・取り消しをされる場合はできるだけ早くご連絡ください。

ドックご利用上の注意

  1. 検査前日と当日の飲食については制限があります。
    案内書類をご確認ください。
  2. 現在、糖尿病等で食事制限をしている方、また継続してお薬を飲んでいる方は、主治医に相談し、その指示に従ってください。
  3. 次の方は、必ず看護師へお申し出ください。
    ・生理中の方(後日になる検査があります)
    ・妊娠中(疑いを含む)の方
  4. 検便検査は2回法で行っておりますので、必ず2日分を当日ご持参ください。
  5. 胃部検査はレントゲン検査(バリウム)または上部消化管内視鏡検査(胃カメラ)を予約時に選択してください。(当日の変更はできません)
  6. 当日は着脱の楽な服装(上下分かれたもの)で、ネックレス等のアクセサリー、貴金属はつけずにおいでください。

持参していただくもの

  1. 診察券(当院の診察券をお持ちの方は必ずご持参ください)
  2. 質問表・問診票(もれなく記入し、当日ご持参ください)
  3. 検便2日分(2回法)
  4. 人間ドック利用券・受診券・会員証等
    (健康保険組合又は共済組合等発行のものがある方は必ずご提出ください)
  5. マイナ保険証または資格確認書

駐車場

車でお越しの方は病院外来駐車場をご利用ください。

その他

  1. 脳ドックご利用中の食事についてはご用意いたしております。
  2. 検査結果は成績書にして後日郵送いたします。
    ドックのデータは診察券番号で管理しております。
    ドックの予約やお問い合わせをされる時は、氏名と診察券番号をお伝え下さい。
  3. 脳ドックに関するお問い合わせは平日17:00迄にお願いします。

【病院の連絡先】
長岡赤十字病院 健康管理センター
TEL.0258-28-3600(内線2601) FAX.0258-28-9031

医療関係者の方

採用情報関係 

ページトップへ

Copyright © 2026. Nagaoka Red Cross Hospital. All Rights Reserved.